
The adoption of artificial Intelligence in healthcare is on the rise and solving a variety of problems for patients, hospitals and the healthcare industry overall. Take a closer look at how AI is solving problems and what's on the horizon for the industry in the next 5 years. We update this slideshow periodically as we learn more about out how the tech is being put to use in HIT.
Advance to the next slide to begin the gallery.

With the mandate of fostering an ecosystem of applied machine learning startups, Google revealed the first four companies to join its Launchpad Studio and said this initial track is aimed squarely at healthcare and biotech.

For the doctor's office, the coverage information is digitally verified to reduce the manual calls typically needed to ensure a patient's insurance information is accurate and valid.

AI chatbots, which tap into natural language processing, knowledge management and sentiment analysis capabilities, require commitment and discipline to use well.

Nuance’s new technology aims to enhance interactions between patients and caregivers to both improve the consumer experience and reduce physician burnout.

The doc.ai app plans to take one task away from doctors and give it to an artificial intelligence to interpret lab results. The company’s first product will interpret blood tests, then genetic tests, then they'll gradually add other kinds of tests.

AI-based virtual assistants are evolving quickly, and more and more effort is being put into making them emotionally intelligent – able to pick up on subtle cues in speech, inflection or gesture to assess a person's mood and feelings. The ways that could impact wellness and healthcare are intriguing. By reading into vocal tone, AI platforms could perhaps detect depression, or potentially even underlying chronic conditions such as heart disease.

Aetna has launched a new security system for its consumer mobile and web apps that, in something of a twist, makes passwords optional.
Instead of a password or fingerprint being the only barrier to entry, Aetna’s new behavior-based security system monitors user devices and how and where a consumer uses that machine. Consumers can add biometric protection available on their devices.

The new UNiD HUB -- a data-driven digital portal for the The Medicrea Group's Adaptive Spine Intelligence technology -- is designed to support the surgeon workflow, identify tendencies and correlations, and build predictive modeling to drive intelligent strategic decisions and create personalized implant solutions for surgery.

Machine learning and AI solve the immense data workflow problem of IT professionals by looking at behavior versus signatures, as well as taking into account multiple data points from a network. “By acting on behavior and expected actions versus outdated or unknown signatures, the systems can take immediate actions on threats instead of alerting after the fact,” said Robert LaMagna-Reiter of First National Technology Solutions.

There are important distinctions between AI and machine learning. "AI is basically getting computers to behave in a smart manner," said Zeeshan Syed, director of the clinical inference and algorithms program at Stanford Health Care. "You can do that either through curated knowledge or through machine learning."

IBM and the University of California San Diego have opened an Artificial Intelligence for Healthy Living Center at UC San Diego to bring together the tech, AI and life sciences knowledge for research into healthy aging.

Prosthetic limbs have changed very little in the past 100 years, according to doctors familiar with prosthetics. But a new bionic hand developed at Newcastle University in the United Kingdom has the potential to change that. The bionic hand is fitted with a camera which instantaneously takes a picture of the object in front of it, assesses its shape and size and triggers a series of movements in the hand. The project, described in the Journal of Neural Engineering this week, is led by biomedical engineers at Newcastle University and it is funded by the Engineering and Physical Sciences Research Council.

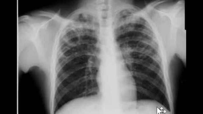
Researchers are training artificial intelligence to identify tuberculosis on chest X-rays, an initiative that could help screening and evaluation efforts in TB-prevalent areas lacking access to radiologists. The findings are part of a study published online in the journal Radiology.

Incorporating Watson artificial intelligence and analytics into the post-traumatic stress disorder treatment program helped achieve a 73 percent psychotherapy completion rate among veterans with PTSD, IBM Watson and Tiatros announced this week. Fewer than 10 percent of veterans with PTSD normally complete a treatment program within a year of being diagnosed, but as many as 80 percent can recover when they do so, according to published Veterans Affairs statistics. VA findings also suggest that one in five of the 3 million veterans of the Iraq and Afghanistan wars suffer from PTSD.

Nuance Communications and Epic are partnering to integrate the artificial intelligence capabilities of Nuance's computer-assisted physician documentation tool into the Epic NoteReader module for clinical documentation improvement. Epic President Carl Dvorak explained that embedding the CAPD tool within Epic, the companies said physicians can get feedback at the point of care as provider organizations work to improve severity-adjusted quality scores and better understand reimbursement and risk adjustment factors to improve care management.

Orbita Voice adds the ability to create once and publishes to multiple voice assistants, chatbots and other conversational AI interfaces for smart speakers, mobile apps, text messaging and telephony applications.

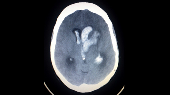
IBM Watson Health and Israel-based MedyMatch Technology are joining their AI forces in hospital emergency rooms to help doctors detect intracranial bleeding resulting from head trauma and stroke. The MedyMatch algorithm uses deep learning, machine vision, patient data and clinical insights to automatically highlight for a physician areas that might indicate the potential presence of cerebral bleeds.